Do you have a broken tooth?
A broken tooth can happen when you least expect it, crunching on something hard, taking a knock during sport, or biting down on an old filling. Whether it’s a small chip or a tooth broken at the gum line, it’s important to act quickly to prevent further damage or infection.
At Avenue Dental Practice in Leamington Spa, we help patients every day with chipped, fractured, or broken teeth. Sometimes repair is simple; other times, it needs a little more care. This guide explains what causes a broken tooth, how we repair it, when extraction may be needed, and what to do if the tooth root is still in your gums.
If you’re in pain or think you may need urgent care, contact our emergency dentist in Leamington Spa straight away.

Why teeth break
Teeth are incredibly strong, but they’re not indestructible. Common causes include:
- Biting on hard foods (ice, boiled sweets, bones)
- Accidents or sports injuries
- Weakened enamel from tooth decay or large fillings
- Grinding or clenching (bruxism)
- Old crowns or restorations coming loose
Even a small fracture can allow bacteria to enter, so it’s best to get it checked as soon as possible. Early treatment often means easier and more affordable repair.
What to do if you have a broken tooth
- Rinse your mouth with warm water to remove debris.
- Keep any broken pieces if possible – your dentist may be able to reattach them.
- Apply a cold compress to reduce swelling.
- Avoid eating on that side until assessed.
- Call an emergency dentist immediately if you’re in pain, bleeding, or the damage is near the gum line.
Our emergency dental service in Leamington Spa can often see patients the same day.
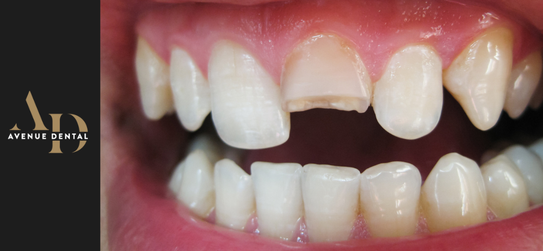
Different types of tooth break
Not all breaks are the same. Some affect only the enamel, while others reach the inner nerve or even extend into the root. Understanding what’s happened helps us plan the right treatment.
| Type of break | Typical symptoms | Possible treatment |
|---|---|---|
| Small chip | Sharp edge, mild sensitivity | Polishing or composite bonding |
| Larger fracture | Pain on biting, visible crack | Tooth-coloured filling, composite bonding , or a dental crown |
| Tooth broken at gum line | Sharp pain, bleeding, possible nerve involvement | Root canal and post-crown, or broken tooth extraction |
| Tooth broken — root still in gums | Swelling, tenderness, infection risk | Surgical removal of root remnant via emergency dentist , or (if restorable) post-crown after root canal |
| Crack extending below gum | Intermittent pain, sensitivity to temperature, pain on release | Assessment with X-ray; often a crown if restorable, otherwise extraction and replacement options |
Broken tooth repair options
Treatment depends on how badly the tooth is damaged and whether the root is still healthy. Here are the most common approaches:
1. Composite bonding
For small to medium chips or fractures, composite bonding is a quick, affordable and natural-looking solution. The dentist uses a tooth-coloured resin to rebuild the missing part, shaped and polished to match your smile. It’s often done in one visit without injections.
2. Dental crowns
If the break is larger, a dental crown can protect and restore the tooth. Crowns act like a strong cap that covers the remaining structure, preventing further cracking. Materials include porcelain, ceramic, or metal-based options.
3. Root canal and crown
If the fracture reaches the nerve, a root canal may be required first to remove infection before fitting a crown. This saves the natural tooth whenever possible.
4. Broken tooth extraction
Sometimes the damage is too extensive to repair, particularly if the tooth broken at gum line or tooth broken root still in gums. In those cases, we recommend broken tooth extraction to protect surrounding teeth and gums. We use gentle techniques and can offer care for nervous patients if you’re anxious about treatment.
After extraction, we can discuss replacement options such as implants, bridges or partial dentures — keeping your smile healthy and complete.
What if the tooth root is still in your gums?
If your tooth snaps near the gum line but the tooth broken root is still in your gums, it’s important to have it examined promptly. The remaining root can cause infection or discomfort if left untreated.
Depending on the situation, options include:
- Surgical extraction of the root remnant
- Root canal and post-crown if the root is strong enough to support restoration
- Monitoring with X-rays if there’s no pain or infection (rare)
Our experienced clinicians will assess the area carefully and explain each choice so you can make an informed decision.
How we handle a broken tooth emergency
At Avenue Dental Practice, our emergency dentist in Leamington Spa can often see you on the same day. Here’s what to expect:
- Assessment and X-ray – to see how deep the damage goes.
- Pain relief and stabilisation – we smooth sharp edges and prevent further trauma.
- Discussion of repair options – from bonding to crowns or extraction if needed.
- Follow-up plan – if you need further treatment, we’ll arrange it quickly.
If you’re nervous, our team for anxious patients will take extra care to make you feel at ease.
Why patients trust us
- Our clinicians have years of experience treating every type of broken tooth, from minor chips to complex root fractures.
- We use modern digital X-rays, high-strength materials, and precise bonding techniques for long-lasting results.
- As a full-service dental practice in Leamington Spa, we provide everything from routine check-ups to emergency care, crowns, implants and cosmetic treatments.
- We explain every step in plain language, provide written estimates, and focus only on treatment that genuinely helps you.
What happens after a broken tooth extraction
If your tooth cannot be saved, extraction is a straightforward procedure performed under local anaesthetic. The area is fully numbed, and we remove the remaining tooth or root carefully to protect surrounding tissue.
Afterwards, you may notice mild swelling or tenderness for a few days. Most people return to normal activities within 24–48 hours. We’ll give you aftercare advice and discuss replacement options such as:
- Dental implants
- Bridges
- Partial dentures
Restoring the gap is important to maintain bite balance and confidence. You can explore more about replacement options on our main website.
Preventing broken teeth
While accidents can’t always be avoided, good habits make a big difference:
- Visit your dentist for regular check-ups.
- Wear a custom mouthguard for sport.
- Avoid biting ice, pens or hard sweets.
- Address grinding with a night guard if needed.
- Keep fillings and crowns in good condition.
Preventive care saves time, money and discomfort later.
When to see a dentist urgently
Contact an emergency dentist right away if you notice:
- Severe pain or swelling
- Bleeding that doesn’t stop
- A tooth broken at the gum line
- Tooth broken root still in gums
- Signs of infection (bad taste, pus, temperature)
Prompt attention prevents complications and increases the chances of saving the tooth.
Final thoughts
A broken tooth doesn’t have to mean panic — but it does mean quick action. Whether it’s a small chip, a tooth broken at gum line, or a tooth broken root still in gums, timely care protects your smile and prevents infection.
At Avenue Dental Practice in Leamington Spa, we’re here to help with calm, expert treatment, from broken tooth repair to broken tooth extraction, and everything in between.
If you’re in pain, contact our emergency dentist today. You’ll speak to a friendly team who understand, act quickly, and get you back to smiling confidently again.
If you’re unsure which applies, book a dental check-up, we’ll take X-rays if needed and explain the options clearly.
FAQs about broken tooth repair
Rinse your mouth, keep any fragments, and contact our emergency dentist in Leamington Spa. Avoid chewing on the area.
Sometimes, yes. If the root is healthy, we can often rebuild it with a post and crown. If not, extraction and replacement may be better.
This needs checking quickly. Depending on the case, we may remove the root surgically or restore it if possible.
No. Modern dentistry makes treatment comfortable with local anaesthetic and, if needed, gentle options for nervous patients.
It’s best not to. Even small breaks can lead to decay or infection. Visit us for a dental check-up to prevent complications.

